Skip to content
병원소개
정직한AMC의 약속
의료진
의료장비
시설소개
치료케이스
진료안내
오시는 길
일반 진료
내과
외과
안과
치과
피부과
정형외과특화센터
슬개골탈구 클리닉
십자인대 클리닉
고관절 클리닉
골절 클리닉
특화진료센터
아토피클리닉
중증내과질환
심장특화질환
포메라니안 탈모클리닉
종양항암클리닉
고양이내과센터
고양이 센터
고양이외과센터
중성화수술
요도루조성술
구내염 전발치수술
소화기 이물제거수술
건강검진센터
강아지 건강검진센터
고양이 건강검진센터
병원소개
정직한AMC의 약속
의료진
의료장비
시설소개
치료케이스
진료안내
오시는 길
일반 진료
내과
외과
안과
치과
피부과
정형외과특화센터
슬개골탈구 클리닉
십자인대 클리닉
고관절 클리닉
골절 클리닉
특화진료센터
아토피클리닉
중증내과질환
심장특화질환
포메라니안 탈모클리닉
종양항암클리닉
고양이내과센터
고양이 센터
고양이외과센터
중성화수술
요도루조성술
구내염 전발치수술
소화기 이물제거수술
건강검진센터
강아지 건강검진센터
고양이 건강검진센터
십자인대 클리닉
전문센터와 전문클리닉으로 구성된
정형외과 특화센터
슬개골탈구클리닉
십자인대클리닉
고관절클리닉
골절클리닉
”
EVIDENCE - BASED
다시 잘 걸을 수 있을까
시간이 지나도 괜찮을까
십자인대 파열을 진단받은 보호자라면
한 번쯤은 하게 되는 걱정입니다.
십자인대 파열은 수술 자체보다도
수술 이후의 관리와 판단이
예후를 크게 좌우하는 질환입니다.
그래서 저희는 수술 이후의 보행 변화와 통증 조절,
그리고 장기적인 관절 사용까지 고려한
결과 중심의 진료를 원칙으로 합니다.
CHECK LIST
활동량 많은 아이에게 흔한
십자인대 파열
우리 아이에게서
이런 모습이 보이나요
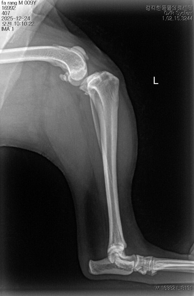
강아지 십자인대 파열
대표 증상
01
걷다가 갑자기 한쪽 뒷다리를 들고 걷는다
02
앉았다 일어날 때 뒷다리에 힘이 없어 휘청거린다
03
산책 후 통증이 심해지고, 해당 다리를 피해서 쓴다
04
무릎 주변을 만지면 예민하게 반응한다
05
시간이 지나도 절뚝거림이 반복된다
갑작스럽게 시작되는 경우가 많은 질환
초기 판단과 대응이
중요합니다.
십자인대 파열
단계별 진행 상태
초기 손상
부분적인 손상으로 절뚝거림이 간헐적으로 나타날 수 있습니다.
정확한 감별 진단이 필요합니다.
진행 단계
무릎의 불안정성이 커지며
통증과 보행 이상이 반복됩니다.
수술 여부를 신중히 판단합니다.
완전 파열
무릎 관절의 안정성이 무너져
통증과 기능 저하가 뚜렷합니다.
수술적 교정이 적극적으로 고려해야 합니다.
정직한동물의료센터는
모든 아이에게 수술을 권하지 않습니다.
아이의 나이, 탈구 단계, 통증 정도, 생활 환경을 종합적으로 고려해
꼭 필요한 경우에만 수술을 권합니다.
수술 전
(Before)
수술 후
(Afrer)