Skip to content
병원소개
정직한AMC의 약속
의료진
의료장비
시설소개
치료케이스
진료안내
오시는 길
일반 진료
내과
외과
안과
치과
피부과
정형외과특화센터
슬개골탈구 클리닉
십자인대 클리닉
고관절 클리닉
골절 클리닉
특화진료센터
아토피클리닉
중증내과질환
심장특화질환
포메라니안 탈모클리닉
종양항암클리닉
고양이내과센터
고양이 센터
고양이외과센터
중성화수술
요도루조성술
구내염 전발치수술
소화기 이물제거수술
건강검진센터
강아지 건강검진센터
고양이 건강검진센터
병원소개
정직한AMC의 약속
의료진
의료장비
시설소개
치료케이스
진료안내
오시는 길
일반 진료
내과
외과
안과
치과
피부과
정형외과특화센터
슬개골탈구 클리닉
십자인대 클리닉
고관절 클리닉
골절 클리닉
특화진료센터
아토피클리닉
중증내과질환
심장특화질환
포메라니안 탈모클리닉
종양항암클리닉
고양이내과센터
고양이 센터
고양이외과센터
중성화수술
요도루조성술
구내염 전발치수술
소화기 이물제거수술
건강검진센터
강아지 건강검진센터
고양이 건강검진센터
전문센터와 전문클리닉으로 구성된
정형외과 특화센터
슬개골탈구클리닉
십자인대클리닉
고관절클리닉
골절클리닉
수술 이후까지 고려한
수술 책임 보증 시스템
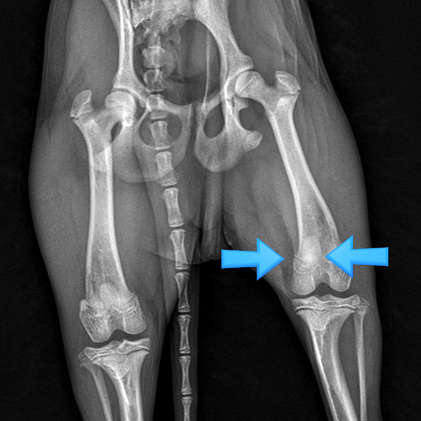
슬개골 탈구는 수술 이후에도 재탈구 가능성이 보고되는 질환으로,
수술 결과뿐 아니라 이후의 경과 관리와
회복 과정까지 함께합니다.
정직한동물의료센터는
본원에서의 슬개골 탈구 수술 후, 재발하는 경우
1년간 무상으로 재수술을 진행할 것을 보증합니다.
THIS IS OUR PROMISE
슬개골 탈구 수술 후에도
결과에 대한 책임을 의료진이 함께 지겠다는
진료 원칙에 대한 약속입니다.
CHECK LIST
소형견의 70%
가 겪는 슬개골 탈구
혹시 이런 증상이 있다면
반드시 확인이 필요합니다.
강아지 슬개골 탈구
대표 증상
01
가끔 다리를 절뚝거리며 걷는다.
02
걷기를 꺼리거나 갑자기 한쪽 다리를 들고 걷는 모습이 보인다.
03
다리를 쭉 펴거나 굽히기 어려워한다.
04
다리를 들어 올리면 통증을 호소하거나 불편해한다.
05
자꾸 주저 앉거나, 뛰는 동작을 피한다.
어떤 강아지라도 겪을 수 있는 슬개골 탈구,
그래서 더욱
믿을 수 있는 실력
이 필요합니다.
슬개골 탈구
단계별 진행 상태
1단계
간헐적으로 빠졌다가 돌아옵니다.
큰 이상은 없지만 초기 관리가 필요합니다.
2단계
탈구가 반복되며 보행 불편이 나타납니다.
치료 또는 수술 여부를 판단합니다.
3단계
탈구가 잦고 보행 이상과 통증이 뚜렷합니다.
수술적 교정을 적극 고려합니다.
4단계
정상 위치로 돌아가지 않습니다.
지속적인 통증으로 수술이 필요합니다.
정직한동물의료센터는
모든 아이에게 수술을 권하지 않습니다.
아이의 나이, 탈구 단계, 통증 정도, 생활 환경을 종합적으로 고려해
꼭 필요한 경우에만 수술을 권합니다.
수술 전
(Before)
수술 후
(Afrer)