영상의학센터

내과·외과·전공 영상의학의 협진으로 진단부터 치료 계획까지 한 단계 더 빠르고 정확하게 완성합니다.

리더스 영상의학센터

MRI : Canon vantage Elan MRI

AI 기술 도입으로 MRI 검사 시간 대폭 감소 및 영상 품질 대폭 개선

AI 딥러닝 기술 도입으로 MRI 촬영 시 필요한 마취 시간 기존 대비 40% 대폭 단축

AI 딥러닝 기술을 활용하여 기존 대비 영상 품질 대폭 개선(전체 검사 중 약 97% AI 적용)

응급 MRI 프로토콜 도입

응급 MRI 촬영은 멘탈 저하를 보이는 환자 대상으로 진정 또는 짧은 마취로 진행합니다.

응급 처치를 위한 목적으로 기존 일반 MRI 촬영 대비 해상도는 다소 감소하며 환자 안정화 이후 정밀한 MRI 재평가가 추천됩니다.

·

응급 MRI 프로토콜 5분 이내 촬영

·

진정 또는 짧은 시간 마취로 촬영 진행

·

멘탈 저하 보이는 응급 환자 적용

Metal Artifact Reduction (mART+) 금속 아티팩스 감소 기법 도입

MRI 촬영 시 더 이상 환자의 내장형 인식칩(microchip)을 제거할 필요 없습니다.

mART+ 기술을 통해 인식칩 주변에서 발생할 수 있는 영상 왜곡을 최소화하여 뇌, 경추 부위의 평가 정확도를 높입니다.

촬영 부위와 인접한 부위에 금속 물질(인공관절, 임플란트, 플레이트, 핀)이 있는 경우에도 영상 왜곡을 최소화하여 촬영이 가능합니다.

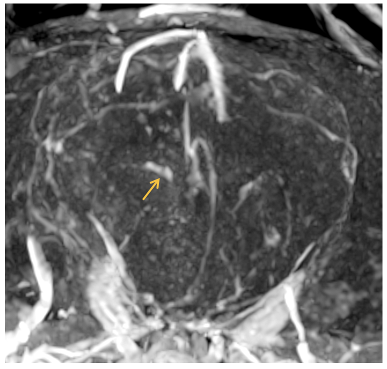
뇌신경(cranial nerve), 척수신경(nerve root) 정밀 평가

Deep Learning Reconstruction (DLR)을 통한 AI 재구성과 3D 영상화 기술을 통해 뇌신경 및 척수신경근의 미세 구조를 입체적으로 분석할 수 있으며,압박이나 염증 등의 이상 소견을 보다 명확하게 확인할 수 있습니다.

·

3D T2, 3D T1, 3D FLAIR 를 활용한 뇌신경 질환 의심 환자 정밀 평가 (안면마비, 시신경 손상, 전정계 질환)

·

3D myelography 를 활용한 척수 뿌리(nerve root) 병변 및 척수 질환 정밀 평가 (디스크, 염증, 종양)

3D T1 reconstriction 영상, 우측 얼굴근육 쳐짐을 보이는 환자에서 확인된 우측 얼굴신경 비후 및 조영 증강 병변

우측 중이염, 내이염을 보이는 환자에서
우측 속귀신경(8번 뇌신경)의 비후 및 조영 증강 병변

MR Spectroscopy (MRS) 기반 뇌 대사기능 평가

MRI 촬영과 동시에 MRS(자기공명분광) 평가가 가능하여, 구조적 이상과 대사적 변화를 한 번의 검사로 확인할 수 있습니다.

리더스 영상의학과는 다수의 MRS 검사 경험을 바탕으로, 뇌의 주요 대사물질(NAA, Cho, Cr 등)을 정밀 분석해 뇌 기능 저하와 대사 이상을 객관적으로 평가합니다.

전체 검사 시간은 약 40분 이내로, 일반 MRI 검사 시간 안에 뇌 구조와 대사 기능을 동시에 확인할 수 있습니다. 이를 통해 일반 MRI로는 확인하기 어려운 뇌 대사 변화를 통해 보다 정확한 진단이 가능합니다.

·

뇌 실질 내 염증(뇌수막염)과 뇌 종양 감별화

·

퇴행성 뇌질환(인지장애증후군) 의심되는 환자 뇌 대사 기능 평가

·

뇌 방사선 치료 후 뇌 실질 변화 정밀 평가

실제 환자 MRS 평가 사진

MRA(Magnetic Resonance Angiography) – 혈관 평가를 위한 전문 검사

리더스 영상의학센터는 조영제를 사용하지 않는 비조영 MRA부터 조영제를 활용한 조영 MRA까지 모두 적용하여 동물의 혈관 구조 및 혈류 상태를 보다 정확하게 평가하고 있습니다.

선천적 혈관 기형, 혈전, 동정맥 이상 등 혈관 관련 질환을 조기에 진단할 수 있으며, 수술 계획 수립 및 치료 방향 결정에 중요한 정보를 제공합니다.

또한, 환자의 상태에 따라 안전성과 정확성을 모두 고려한 최적의 방식을 선택하여 부담을 최소화하고 신뢰도 높은 검사 결과를 제공합니다.

후지 불완전 마비 보이는 환자 MRA 영상,
aortic bifurcation 및 좌측 iliac artery 내 혈전 소견

우측 대뇌 경색을 보이는 환자 MRA 영상,
우측 rostal cerebral artery 일부 확장

향상된 확산강조영상(Diffusion weighted imaging) 을 이용한 미세 뇌 손상 정밀 평가

확산강조영상에도 AI 기술이 적용되어 이전보다 향상된 확산강조영상을 제공합니다.

이전에 확인하기 어려웠던 척수 실질에 대한 확산강조영상 정밀 평가 및 미세 뇌 실질 병변을 정밀하게 평가합니다.

·

미세 뇌 경색 / 미세 뇌출혈 / 뇌종양 / 뇌부종

·

척수 경색 / 척수 종양 / 척수연화증

뇌 실질 내 2mm이내의 미세 뇌출혈 (microbleeding) 병변

척수 실질 경색성 변화
DWI(상)/ ADC(하)

CT : Canon Aquilion start

AiCE (Advanced intelligent Clear-IQ Engine)를 탑재

·

기존 CT 검사 대비 40% 이상 방사선 노출을 최소화시킨 저선량 촬영

·

조영제 사용량 감소

·

최고의 고화질 영상 빠른 재구성을 통해 구조물 및 병변을 정밀하게 평가

·

병변의 유무/성격 및 범위, 혈관과의 연관성(종양 전이 여부 등) 등에 대한 평가

Arterial phase(동맥기) 상 확인되는 우측 부신 종괴 실질 내 다수의 동맥 분포 및 후복강과 등쪽 피하 주위 까지 이어지는 다수의 신생 동맥 혈관

좌 : MIP를 활용한 간문맥전신단락 영상
우 : 3D reconstruction을 활용한 간문맥전신단락 영상

종양에 의한 뼈 침습 및 증식성 병변 3D reconstruction 영상

초음파 : Canon Aplio i700

국내 하이엔드 사양의 초음파 장비

·

i-beamforming라는 초음파 빔 기술로 높은 투과력과 뛰어난 영상의 균일도를 통해 초고해상도의 영상을 제공합니다.

·

미세혈관 검사 기술인 SMI(Superb Micro-Vascula Imaging)를 활용해 종양 및 염증 조기 발견이 가능하고 정밀한 혈류 평가가 가능합니다.

MRI, CT 최신 AI 기술 탑재

MRI

canon vantage Elan 1.5T AiCE

CT

Canon aquilion start AiCE